Planmed XFI
Technologie de nouvelle génération
Scanner CT du corps entier en charge, avec une faible dose d’irradiation
Technologie de nouvelle génération
Planmed XFI® est un système unique de tomographie volumique à faisceau conique (CBCT) offrant une imagerie complète de l’ensemble du corps, de la tête aux pieds, aussi bien en position debout (en charge) qu’en position allongée (décubitus).
Distribué et intégré par SMS T2i Africa, Planmed XFI® permet d’améliorer significativement les capacités d’imagerie orthopédique des centres de radiologie, en apportant une analyse plus précise, fonctionnelle et fiable des structures osseuses et articulaires.
High-quality 3D images




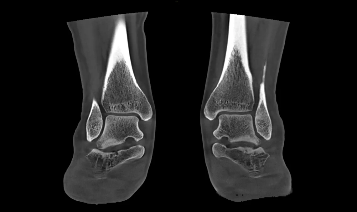
Le détecteur du Planmed XFI offre un champ de vision (FOV) étendu, permettant une imagerie précise de l’ensemble du corps sans exposer le patient à une irradiation excessive.
Le scanner CBCT Planmed XFI se distingue par une large ouverture de 85 cm et un champ de vision généreux, autorisant l’exploration du corps entier aussi bien en position allongée (décubitus) qu’en position debout (en charge). Son grand détecteur plan et sa source de rayons X haute puissance effectuent une rotation complète à 360° autour de la zone examinée, capturant rapidement des images anatomiques 3D détaillées.
Le système délivre des images 3D en ultra-haute résolution pouvant atteindre 75 microns, garantissant une qualité d’image exceptionnelle, une grande finesse de détail et une précision diagnostique optimale.
Imagerie à faible dose, avec une qualité d’image optimale
À mesure que les technologies d’imagerie 3D évoluent, il devient essentiel de trouver un juste équilibre entre leurs bénéfices diagnostiques et les risques liés à l’exposition aux rayonnements, en particulier chez les enfants, plus vulnérables. L’imagerie 3D met en avant le principe ALADA (As Low As Diagnostically Acceptable), qui vise à réduire l’exposition aux rayonnements au strict nécessaire tout en préservant une qualité d’image diagnostique optimale.
Le protocole innovant Planmeca Ultra Low Dose™ permet de diminuer significativement des doses patient déjà très faibles du scanner Planmed XFI®, sans compromis sur la qualité d’image. Ce protocole d’imagerie unique repose sur les algorithmes intelligents 3D développés par Planmeca, garantissant précision, sécurité et performance diagnostique.
Avantages de l’imagerie 3D en charge
L’imagerie 3D en charge est essentielle pour identifier certaines pathologies musculo-squelettiques, en particulier au niveau du rachis lombaire et du bassin, qui ne sont pas toujours visibles lorsque le corps est au repos. Elle permet aux chirurgiens d’évaluer avec précision plusieurs éléments clés, tels que l’alignement de la colonne vertébrale, l’orientation pelvienne, les interactions articulaires, le positionnement des implants et l’état fonctionnel global.
Intégrée aux évaluations préopératoires, cette imagerie améliore la prise de décision chirurgicale, réduit le risque de complications et contribue à de meilleurs résultats thérapeutiques. Elle dépasse les limites des techniques conventionnelles liées aux effets de projection et au chevauchement des structures, en offrant une représentation anatomique plus fidèle dans une position naturelle et fonctionnelle. Cette technologie apporte également une meilleure analyse du pincement des espaces articulaires et d’autres atteintes qui peuvent passer inaperçues avec les méthodes d’imagerie traditionnelles.